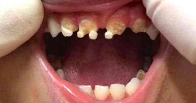
Diş Hekimi 3 Yaşındaki Çocuğun Dişlerine Baktı Ve Annesine BU İÇECEKTEN Çocuğuna Verip Vermediğini Sordu. Muhtemelen Yiyecek ve içeceklerdeki yer alan aşırı miktardaki şekerin sağlığımıza zararından bahsetmeye bile gerek yok. Aşırı şeker tüketimi, kardiyovasküler rahatsızlıkların yanı sıra obeziteye de sebep oluyor. Hatta aşırı şeker tüketimini önlemek için, şekere uluslararası bağlamda...
Çocuk
Dün akşam ana haber bültenlerinde yer alan ‘Çöpe atılan bebek’ haberi Demet Akalın’ın dikkatinden kaçmadı. Henüz dört günlük bebeği ağzı bağlı bir çöp poşetinin içinde Küçükçekmece’de çöpe bırakan vicdansızların haberi tüm Türkiye’yi sarstı. Hira adında bir kızı olan Demet Akalın, sosyal medya hesabından bu haberle ilgili tepkisini paylaştı. Demet Akalın...
Oyun bağımlılığı kör etti Çin’de uzun süre akıllı telefonundan çevrimiçi oyun oynayan 21 yaşındaki kadın geçici körlük yaşadı. Çin’in Guangdong eyaletinde yaşayan 21 yaşındaki kadın, akıllı telefonundan 24 saat aralıksız bir şekilde çevrimiçi oyun oynadıktan sonra kör oldu. Çin gazetesi The Paper’da yer alan habere göre, çevrimiçi çok oyunculu savaş...
Aile ve Sosyal Politikalar Bakanlığının ekran yüzü olan çocuklar için harekete geçmesiyle ilgili Çitos Efe’nin babasından “Aile Bakanlığının bu müdahalesini gereksiz buluyoruz” açıklaması geldi. Aile ve Sosyal Politikalar Bakanlığı, Show TV’de yayımlanan “Çocuktan Al Haberi Ünlüler” programında ünlenen ve sosyal medyada kısa sürede binlerce takipçi sayısına ulaşan 5.5 yaşındaki...
Çocuklar büyürken birçok yeni şey öğreniyorlar.Çocuğunuzun büyümesine yakından tanıklık etmek elbette çok güzel bir şey. İlk kez emeklemeleri, ilk kez koşmaları… Öğrenecekleri yeni hareketler çocuklara başta zor geliyor. Öğrendikleri hareketleri hatırlamak ve tekrar uygulamak ise bir o kadar zor. Çocukların yaptıkları her hareketi kontrol etmek neredeyse imkânsız. Ancak büyüdükçe yaptıkları...
Son zamanlarda giderek yayılan ve özellikle de annelerin kabusu haline gelen rota virüs salgını… Karın ağrısı, mide bulantısı, kusma gibi şikayetlerle başlıyor. Bu şikayetlerin adı rota virüs… Son zamanlarda o kadar çok yaygınlaştı ki birçok anne aynı dertten muzdarip. Ancak virüs büyüklerde de görülebiliyor. Bulaşı hatta önlem alınmadığında, tehlikeli olabiliyor....
Hayatınızda ki en değerli varlık olan evlatlarınızın isimlerin anlamımı biliyor musunuz? Sizler için hazırladığım galerim de ki isimlerin anlamlarını öğrenince oldukça şaşıracaksınız. Sevgili anne babalar çocuklarınıza güzel bir isim vermek elbette sizler için önemli. Bence bebeklere konulan isimlerin bebekleri sonraki yaşamında etkiliyor diye düşünüyorum. Yada isimlerin anlamlarını taşıdığını. Ayrıca düzel...
Tam 814 çocuk kayıp, dile kolay! Türkiye genelinde 814 ev kurşun gibi ağır bir acı taşıyor. Yürek yangınları hiç sönmüyor. Emniyet birbiri ardına kaybolan çocukların ardından açıkladı bu sayıyı. Ailelerin hepsi perişan. İyi ya da kötü en azından bir habere bile razılar… Acılarının tarifi yok. Canlarının bir parçası evlatları kayıp…...
10 senelik öğretmenleri öğrencilerine öyle bir sınıf yaptı ki, öğrenciler okullarına koşa koşa gelmeye başladı. Üstelik bu durum için kimse çuval dolusu para dökmedi.. Biraz iş birliği ve hayal gücü yetti… Öğretmenin söyledikleri: “Hayalimdi böyle bir sınıf yaratmak ve hayalimin içindeyiz. Tamamen kendi birikimlerimle yaptığım bir sınıftı aslında. Hiçbir kaynağımız olmadı. ”...
Obezite sadece yetişkinlerin değil çocuklarında sorunu ama böylesine milyonda bir rastlanır. Talihsiz çocuk henüz beş yaşında ancak kilosu yetişkinlerle yarışıyor. İnanılacak gibi değil ama çocuk tam 80 kilo! Adı Misael Caldogno Abreu bakmayın büyük göründüğüne çünkü o daha 5 yaşında. Ama akranlarının 3 katı. Doğduğunda da biraz gürbüzdü. Ancak diğer çocuklardan...
David Beckham – Victoria Beckham çiftinin kızları Harper Beckham doğduğu günden beri hem şirinliği hem de şıklığıyla göz dolduruyor. Victoria Beckham – David Beckham çiftinin en küçük çocuğu ve tek kızları Harper Seven Beckham, annesi gibi tam bir moda ikonu! Harper Seven Beckham doğduğu günden beri şıklığından ödün vermiyor. Minik...
Vee havalar ısındı.. Dondurma sezonun açılması çocuklarda bitmek bilmeyen bir öksürüğüde beraberinde getiriyor. Mevsim geçişlerinde çok sık karşılaşılan ve geçmeyen öksürük için size önereceğimiz tarifler ile rahat bir nefes alıcaksınız. Doğal yöntemlerin kullanılması çocuklar için oldukça sağlıklı olacaktır. Kullanılan öksürük şurupları çocuklarınızın sağlığını olumsuz etkilemekle birlikte ileriki yıllarda daha farklı...
Çocuğunuzu Cinsel İstismardan Korumak İçin Onlara Bunları Öğretin: Biz çocuklarımızı öperek, koklayarak ve çok dokunarak seviyoruz. Bunda bir sakınca yoktur fakat çocuklara o sınırı vermek gerekir. Yani kimin ona ne kadar yaklaşabileceğini çok net öğretemediğimiz için , özellikle de okul öncesi çağlarda çocuklara da bunu kolaylıkla anlatamayacağımız için bu iş...
Çocukların gerçekte akrabaları, hatta öz babaları tarafından 5’er 10’ar taciz edildiği ülkemde, sanaldan bişey olmaz diyen olursa bu yazının altında, peşin peşin belasını versin! İnternet sadece yetişkinlerin alanı değil, günümüzde çocuklar bizlerden daha fazla zaman harcayabiliyorlar. daha çok oyun sitelerine takılıyorlar, anne kızım-oğlum ne yapıyorsun dediğinizde anne oyun oynuyorum, dediğinde...
Merhaba sevgili kadincasayfa.com takipçilerim. En özel ve en yeni el işi ürünlerinde tekrar sizlerle beraberiz. Bugün siz sevgili anneler ve büyük bir telaş içinde olan anne adayları için muhteşem bir galeri hazırladım. Galeri görselleri arasında emin olun daha önce hiç bir yerde görmediğiniz ve göremeyeceğiniz çok özel örgü bebek eldiven...
Merhaba sevgili takipçilerim bugün erkek çocuk annelere özel harika bir galeri hazırladım. Çocuk modası son yıllarda oldukça şık ve farklı. Özellikle kız çocukları için tasarlanan kıyafetler gerek renk bakımından gerekse farklı kumaş seçenekleri ile kız çocuk annelerini seçim yapmakta oldukça zorluyor. Son yıllarda moda olan tütü tül elbise ve etekler...
Güzel bir güne güzel bir galeri ile merhaba diyelim sevgili takipçilerim. En yeni dizaynlar ve en şık tasarımları sizlerle paylaştığımız konularımıza bir yenisini daha ekliyoruz. Özel günlerde kız ocukları için çok özel saç modellerini uygulamaya ne dersiniz sevgili anneler. Artık minik bebeklerimizde ve küçük kız çocuklarımız en az gelin kadar...
