Kist Hidatik

“Ekinokokus granulozus” tenya ekinokokus isimli asalağın, larvalarının kişinin vücudunda karaciğer, akciğer veya başka dokulara yerleşmesi ile çeşitli bozukluklara sebep olması durumuna “Hidatidoz”adı verilir. Genelde köpeklerin ince bağırsağında parazitlenen tenya ekinokokusun yumurtaları veya gebe halkaları köpeğin dışkılaması ile etrafa dağılmaya başlar. Bu etrafa yayınlan tenyalı yumurtalar ile kirlenen içme suyu, meyve ve sebzeler veya bu yumurtalara değmiş olan eller ağıza götürülmesi ile tenyalı yumurtalar insanın sindirim kanalına geçiş yapar. Tenya ekinokokus yumurtaları, genelde köpeğin kuyruk ve ağız etrafında tüylerinde, vücudunu örten bütün tüylerinde de olabilir. Bu tip köpekleri elleri ile okşayan insanlar ellerini yıkamadan, ellerini ağızlarına götürürlerse ağız yoluyla tenya mikrobunu alma riskiyle karşılaşmış olurlar. Yumurtalar insanın ince bağırsağına vardığında yumurtalardan “Larva” denilen yavrular ortaya çıkar. Akabinde larvalar bağırsaklardan portal damar sistemine ilerleyerek, karaciğere yerleşir. Eğer larvalar karaciğerde yerleşemezlerse, vena kava inferior vasıtasıyla sağ kalbe ulaşarak oradan da akciğere ulaşırlar. Larvalar kan vasıtasıyla bedenin öteki organlarına da sıçrayabilir. Larvalar yerleşmiş olduğu organda “Kist hidatik” denilen bir tür kiste sebep olurlar. Hidatik kist sorunlarının ortalama % 70′İ karaciğerde gelişmektedir. Larvaların dokuya yerleşmesinin ardından iltihabi bir reaksiyona yol açmaktadır. Bu iltihabi reaksiyon ortalama 30 gün sonunda tam olarak kist şeklini alır. Kistin duvarı incelendiğinde farklı tabakalara rastlanılır. En dışta tabakada karaciğer hücreleri, onun altında nedbe dokusundan meydana gelmiş bir tabaka yer alır. Onun da altında “Adventisia” tabakası yer alır. En içte kısımda ise “Germinatİf tabaka” adı verilen bir tabaka yer alır. Germinatif tabakada tenya ekinokokusun skoleksleri gelişimi sürer. Skoleksler parazitin, asalağın bağırsak duvarına tutunabilmesini sebep olan baş bölümleridir. Kistin içi ise “Kaya sıvısı” adı verilen kist sıvısı ile doludur. Hidatik kist tam olarak ortaya çıktıktan sonra yavaş yavaş büyümeye başlar. Bu büyüme 10 ila 20 yıl kadar devam eder. Kist büyümeye devam ettikçe olduğu organa baskı yapar ve organa zamanla hasar vermeye başlar. Kiste gelen bir darbe ile veya kendiliğinden kist çevre organlara yayılabilir.
Karaciğer kist hidatiği: Karaciğere yerleşen kistlerin ortalama % 9O’ı safra yollarını ve safra akımını engellemeye başlar. Bu tip durumlarda kişi bulantı kusma, karnın sağ üst kadranını tutan sancılı karın ağrıları, sorunlu solunum, hafif derecede bir sarılık veya koyu renkte ağır bir sarılık, ateş yükselmesi, deride ürtiker benzeri döküntüler gibi belirtilere göze çarpar. Kist çok fazla büyüdüğünde elle dokunulduğunda hissedilebilecek hale gelir.
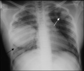
Akciğer kist hidatiği: Kist çoğunlukla sağ akciğere yerleşir. Uzun yıllar hiçbir belirti vermeden sessizce ilerleyebilir. Bazı durumlarda ise kist bir bronşa açılarak, kist sıvısı öksürükle birlikte dışarı atılabilmektedir. Hastalığın başlangıç aşamasında göğüs ağrıları, öksürük ve kanlı balgam gibi dikkat çekici belirtiler ortaya çıkar. Lakin çoğunlukla bu belirtiler pek önemsenmez Uzun bir müddet sonra ise deride bazı kızarık döküntülere rastlanabilir. Astım bronşite benzeri solunum güçlükleri ortaya çıkabilir. Kist bazı nadir durumlarda plevra boşluğuna açılmaktadır. Böyle durumlarda göğüste şiddetli bir ağrı, nefes darlığı, morarma ve şok gibi ağır bozuklukları ortaya çıkabilir.
Henüz yorum yapılmamış.