22 Yaşında Dördüncü Hamileliğini Yaşayan Kadın Ultrasona Girince Gözlerine İnanamadı

Chloe Dunstan ve eşi Rohan’ın üç oğlu vardı ve bir kız çocuk istiyorlardı.
Chloe bir kez daha hamile kaldı. Tek umutları bebeğin kız olmasıydı.
Chloe, birkaç hafta sonra rutin kontroller için doktora gitti.
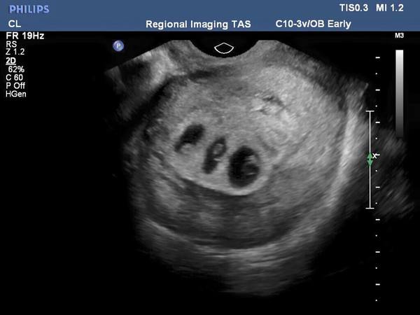
Kendisini şok eden haberle karşılaştı. Meğerse üçüzleri olacakmış!
Bir annenin çocukları için aldığı kritik karara dair haberi arkadaşlarınızla paylaşmayı unutmayın!













Henüz yorum yapılmamış.