Diş protezleri

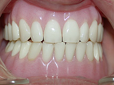
Diş protezleri, ağız içerisinde farklı sebepler neticesinde kaybedilmiş olan dişlerin çiğnemesini, konuşması şeklindeki fonksiyonlar ile estetik görüntüsünün tekrardan rahatsız kişiye kazandırılmasının amacı ile hazırlanmış olan bütün yapay materyallere denir.
Genellikle diş etlerindeki rahatsızlıklar tedavi edilmez ise sonunda dişlerde ve de kemiklerde kayıp ortaya çıkar. Protez ile kaybedilmiş olan ağız sağlığının düzelmesi sağlanır.
Bu sayede kaybedilmiş olan dudağın, yanağın desteğiyle, konuşma fonksiyonları, çiğneme fonksiyonları ile estetik görüntüsü yeniden kazandırılır. Eksilmiş ve ya kötü durumdaki dişler ile hayatını sürdürmek mecburiyetinde olan, gülme konusunda zorluk yaşayan insanların psikolojik yönden desteklenmesi sağlanır. Diş protezleriyle kişilerin hayat kalitesinde yükselme olması amaçlanmaktadır.
Diş protezinin destek dolular ile ilişkileri, dokunun zaman içerisinde büzülmesinin sonucunda bozluma olur. Dokudaki değişim kişinin genel sağlık durumuyla alakalı olur. Diş protezlerinin dokuyla alakası farklı işlemler ile tekrar sağlanır. Sağlanmaz ise diş protezi gevşer, dokuları tahrip eder ve de acıtmaya başlar. Bu sorun sürer ise ağzın içerisinde önemli sorunlara sebep olur.
Diş protezinin doku ile uyumunun bozulması, dişlerin aşınıp eskisi gibi gıdaları öğütememeye başlayınca diş protezinin yenilenmesi gereklidir. Diş protezinin yapılmış olduğu malzemenin bakteriyi tutmaya uygun ortamın hazırlanmaya başladığı hallerde de yenilenmesinin gereği vardır. Diş protezinde kişiyi huzursuz edecek bir vaziyet olduğu zaman kendi, kendinize düzeltmek için uğraşmayın, hemen doktorunuza danışın.
Diş Protez Çeşitleri
Sabit olan diş protezi.
Kişinin kendi, kendisine çıkaramayacağı kron- köprü şeklindeki yapışma diş protezi.
Hareketli olan diş protezi.
Kişinin kendi isteği ile takıp, çıkardığı diş protezi.
Total Diş Protezleri:
Dişlerin tamamının olmadığı ağza uygulanmaktadır.
Parsiyel Diş Protezleri:
Kısmi olarak dişi olmayan ağızlar için uygulanmaktadır. Dişin üstüne gelmiş tırnak ve de kanca ile tutturulması sağlanmaktadır.
Hassas Tutuculu Diş Protezleri:
Kısmi olarak dişi olmayan ağızlar için uygulanmaktadır. Kanca şeklinde dıştan görünmekte olan bir aparatın olmadığı estetik olan diş protezleridir.
İmplant Üstü Protezler
Sabit:
İmplantın desteği ile yapılmış köprüler ya da kronlardır.
Hareketli:
Kemiğin desteğinin yeteri kadar olmadığı ağızlar için uygulanan implantlardan destek alınıp yapılmakta olan total benzeri protezlere denir.
Hareketli Protezlerin Temizliği
Diş protezini doktoruz tavsiye ettiği şekilde kullanmalısınız. Gece uyumadan evvel ağzınızın içerisindeki dokuların dinlenmesi amacıyla diş protezinizi çıkarınız. Çıkardıktan sonra kesinlikle suyun içerisinde bekletiniz. Ancak diş protezinizi kesinlikle sıcak su içerisine koymayınız.
Plağın, gıda artıklarının ve de tartarın oluşmasının önüne geçmek amacıyla protezin günlük temizliği ile bakımı çok mühimdir. Protezin altında olan dokuların sağlıklarının korunması, enfeksiyona engel olunması için muntazam olarak bakımı yapılmalıdır.
Yemek yedikten sonra protezi suyla yıkayıp gıda kalıntılarından arındırın. Gece yatmadan evvel ile suyla, farklı diş macunu ve ya protez bakım ürünlerini kullanıp protezi fırçalayabilirsiniz.
Fırçalarken protezin yüzeyinin zarar görmemesi amacıyla aşındıran toz kullanmayınız. Fırçalarken özel protez fırçasını ve ya bilinen diş fırçalarının kullanınız.
Günlük fırçalamanın dışında özel efervesan protezi temizlemeye yarayan tabletler kullanarak haftalık kimyasal protez bakımını da yapmalısınız.
Sabırla ve pozitif yaklaşarak rahatlıkla diş protezi kullanmakta olan insanların arasında yerinizi alınız.
Henüz yorum yapılmamış.